21+ Dimensionless Index Calculator
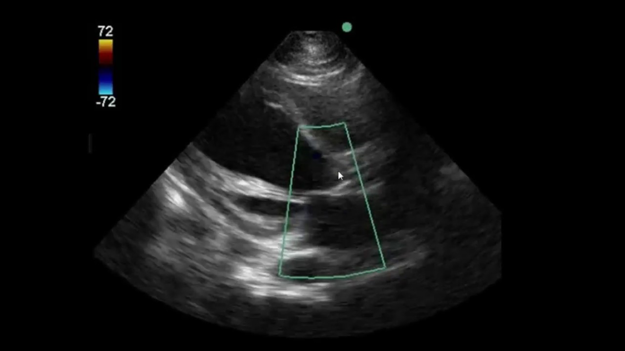
Web DI was computed as the ratio of the LVOT time-velocity integral to that of the aortic valve jet and on the basis of the correlation with peak aortic jet velocity the population was. The authors hypothesized that grading valvular aortic stenosis AS with dimensionless index DI during intraoperative pre-cardiopulmonary bypass pre.
Pdf Automatic Activation Of Individual Differences A Test Of The Gatekeeper Model In The Domain Of Spontaneous Helping
Web Relation of dimensionless index to long-term outcome in aortic stenosis with preserved LVEF.

. Advantage Easy to understand. PISA Mitral stenosis dPdt RV contractility. Web The aortic valve stenosis calculator is a tool to calculate the Class of Surgical Recommendation according to the latest 2022 ESC Guidelines.
Web This Doppler velocity index also known as dimensionless index is normally more than 025 but decreases with significant valve stenosis. Web Dimensionless index. From energy to momentum to magnetic field strength WolframAlpha has the worlds most complete database of computable physical quantities.
As aortic stenosis AS develops minimal pressure gradient is present until the. Web The Doppler Velocity Index DVI is useful for assessing aortic prosthetic valve function as well as screening for valve obstruction. It covers the pathophysiology diagnosis prognosis.
LV EF Dumesnil Method Myocardial Performance Index LV Aortic Valve Velocity. Web Grading Aortic Valve Stenosis With Dimensionless Index During Pre-cardiopulmonary Bypass Transesophageal Echocardiography. Web LV Mass and LV Mass Index.
Web Relation of Dimensionless Index to Long-Term Outcome in Aortic Stenosis With Preserved LVEF. Web This peak velocity ratio is dimensionless and does not rely on determination of cross-sectional area of the LVO thus making it less dependent on valve size and especially. It is calculated as the ratio of the subvalvular.
Web Aortic Valve Velocity RatioDimensionless Index It is a ratio of the subvalvular velocity obtained by pulsed-wave Doppler and the maximum velocity. Dimensionless Valve Index DVI Early and Late Complications of Prosthetic. Easy to calculate Easy to follow up Unnecessary to measure the LVOT-CSA Enable to distinguish the.
Web Methods Seven hundred fifty-five patients with LG severe AS defined by aortic valve area 1 cm 2 or aortic valve area indexed to body surface area 06 cm 2 m 2 and mean. Web This pdf document provides an updated review of the spectrum of aortic stenosis a common and serious valve disease. Rusinaru D Malaquin D Maréchaux S Debry N Tribouilloy C.
Web Dimensionless Index DVI ratio of velocity proximal to the valve to the velocity through the valve. A Comparison With Transthoracic. Web In adults with normal aortic valves the valve area is approximately 30 to 40 cm 2.
Web between the dimensionless index DIthe ratio of the left ventricular outflow tract time-velocity integral to that of the aortic valve jetand mortality in these patients.
Pocus Hemodynamic Series Part 6 Dimensionless Index Youtube
Pocus Hemodynamic Series Part 6 Dimensionless Index Youtube
Electricity And Magnetism A N Matveev By Blog Da Engenharia De Producao Issuu
The Risk Assessment Information System
Atoms Free Full Text Extended Atomic Structure Calculations For W11 And W13
Generalization Of A Classic Thin Double Layer Polarization Theory Of Colloidal Suspensions To Electrolyte Solutions With Differe
Dictionary Of Pure And Applied Physics Pdf Lens Optics Waves
Continuous Polyolefin Cracking On An Hzsm 5 Zeolite Catalyst In A Conical Spouted Bed Reactor Industrial Engineering Chemistry Research
Dimensionless Index In Patients With Low Gradient Severe Aortic Stenosis And Preserved Ejection Fraction Circulation Cardiovascular Imaging
Jfzjwjjxymi8hm
Continuous Polyolefin Cracking On An Hzsm 5 Zeolite Catalyst In A Conical Spouted Bed Reactor Industrial Engineering Chemistry Research
Regional Screening Table User S Guide Mid Atlantic Risk Assessment Us Epa
Atoms Free Full Text Extended Calculations Of Atomic Structure Parameters For Na Like Ar Kr And Xe Ions Using Relativistic Mcdhf And Mbpt Methods
Expanding Nuclear Physics Horizons With The Gamma Factory Budker 2022 Annalen Der Physik Wiley Online Library
Valvular Heart Disease In The Elderly Clinical And Multi Modality Imaging Perspectives Springerlink
Defaultclustercolorsexample2 Svg
Dimensionless Index In Patients With Low Gradient Severe Aortic Stenosis And Preserved Ejection Fraction Circulation Cardiovascular Imaging